Call me back

We’re Accepting New Patients!

Read More Next

Looking for a caring and professional dental practice? We’re excited to welcome new patients to our clinic! Whether you’re due for a check-up, need treatment, or are looking to enhance your smile, our friendly team is here to help.
Contact us today to book your first appointment—we look forward to meeting you!

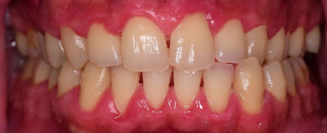
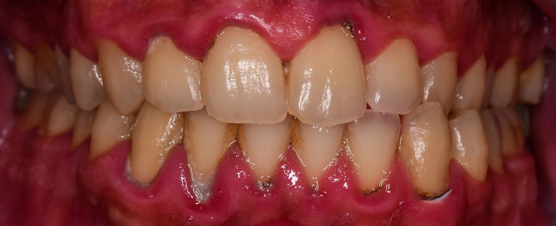
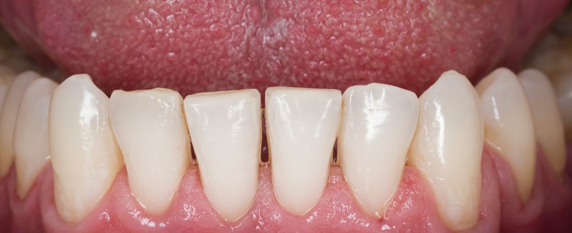
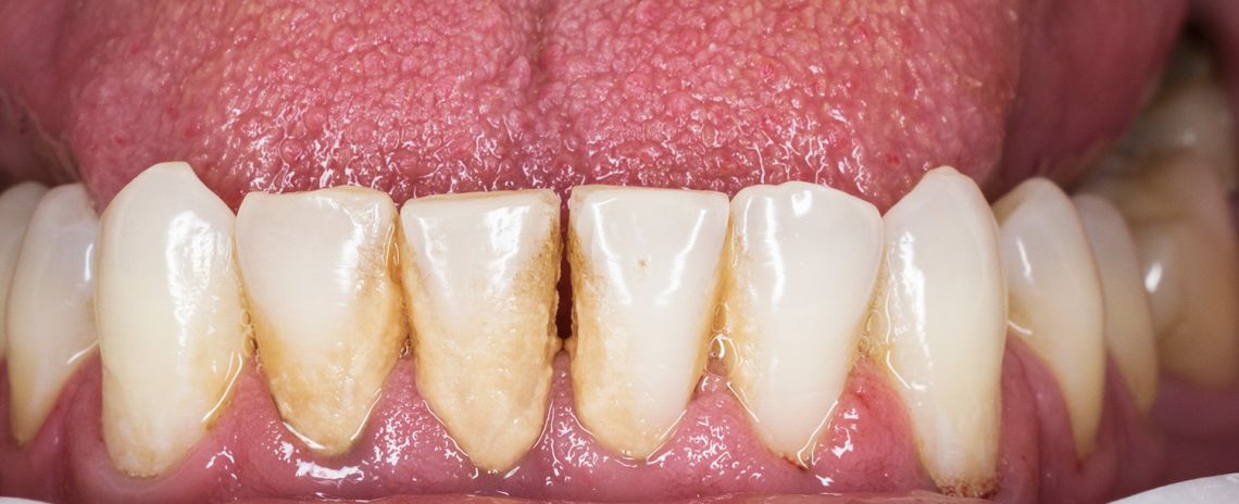
Dental hygiene

Our hygienist team at Newcastle Dental Practice have extensive experience in maintaining the oral health of patients throughout Hanley, Tunstall, Newcastle-under-Lyme and Stoke-on-Trent and beyond. This can range from simple scaling and polish, to routine maintenance or more complex gum treatments.

We can help you design a bespoke oral hygiene plan to prevent recurring problems like staining, bad breath, gum disease, plaque build-up and more.

For patients undergoing dental implant treatment, our hygienists also help maintain your dental health from the beginning of implant treatment to the fitting of the final crowns and bridges.

Benefits of our hygienist care include:

  • Professional clean and tartar removal
    Plaque is a sticky bacterial coating that consistently forms on your teeth. If it is not brushed away properly, including difficult to reach areas like between the teeth, the plaque hardens to form tartar/calculus which cannot be removed so easily at home. Persistent plaque and calculus can lead to periodontal disease, causing bleeding gums, tooth mobility and eventually tooth loss.

    Your dental hygienist will perform an intensive clean on all accessible surfaces of the teeth to ensure any plaque and tartar build up is fully removed. If you have a lot of tooth decay, your hygienist may apply a fluoride gel to help protect the teeth from further attack.
  • Stain removal
    Drinking tea, coffee, red wine or fizzy drinks will gradually stain your teeth over time. Your hygienist will be able to clean these stains away using natural products like baking soda for a whiter smile. Our hygienists also use the innovative AirFlow system which uses air, sodium bicarbonate and water together to clean stains from your teeth.
  • Fresh breath
    A clean mouth means fresher breath!
  • Prevention of gum disease
    Early signs of gum disease include bleeding gums when brushing. Your hygienist will test for this and if they spot symptoms. With regular appointments, they will be able to help deal with this before the disease has the chance to progress. They may use anti bacteria gel and solutions to apply under the gum line to kill any bacteria causing gum disease. It is important to pay attention to these symptoms as if left untreated, gum disease can lead to the movement or even the loss of teeth.
  • Oral hygiene plan
    We will work with your individual needs to create a tailor made plan for optimum maintenance of your oral hygiene. This includes recommending the right products, different types of brushes and showing you the most effective ways to use them.
  • Dietary advice and smoking cessation
    The food we eat can affect our teeth, this could be through staining or acid erosion. If your diet has had a detrimental effect on your teeth, our hygienists can advise on changing your eating habits to prevent further harm. Smoking is also a big factor in causing periodontal disease, bone loss, oral cancer, reducing healing after dental work and staining of teeth. Your dental hygienist can also offer smoking cessation advise if required.

We recommend all Newcastle Dental Practice patients have regular hygiene treatments at least once to twice a year alongside your routine dental health reviews.

Meet the team

Simon Taylor

Dental Therapist

GDC NO. 252418

Jenna Foster

Dental Hygienist

GDC NO. 240989

Previous
Next
Patient Reviews

People are talking about us

The biggest complement we receive is when our patients refer their friends and family to Newcastle Dental Practice. In fact, we have built much of our practice on these valued, trusted recommendations over the years. Read our reviews to hear why our patients are recommending us…

Patient reviews

928 Reviews

5.0

14th March 2026

The friendliness of the reception staff. The hygienist was constantly making sure I was comfortable and fine during the cleaning and explained how to best improve the bleeding in my gums before our next appointment.

NN

Nadine Naylor

All staff are very welcoming and friendly. I’ve always had fears when it comes to visiting dentists from a young age, however I’ve never felt judged since going here and the dentists and hygienists I have seen have all been very accommodating when I have been nervous and the treatments I have gotten have been excellent (deep cleaning, fillings, checkups etc). If I’ve had any issues they get me in promptly and as soon as possible (wisdom tooth infection) and they are very reassuring and talk you through everything that’s happening and how to treat things after the appointment I highly recommend this Dentist to anyone if they are in need of reliable and trustworthy dentist practice.

12th March 2026

All staff are all ways very helpful and friendly. I find the Dentist and particularly the Hygienist very helpful and supportive I couldn’t hope for a better experience.

CB

Chris Bamsey

Everyone at the practice provides an excellent service in a friendly, relaxed and professional way. I was impressed by how everything regarding my treatment was explained to me and how I was put at ease by Dr Marcus before and during the process.

9th March 2026

Very efficient, highly skilled and always polite. I have attended this dentist for many years.

7th March 2026

Very friendly and helpful staff.clean and tidy practice.only thing that lets it down is no parking.you have to park on the street.

5th March 2026

Friendly but very professional made to feel at ease throughout the whole process

4th March 2026

All staff were very professional and efficient

3rd March 2026

All staff are extremely professional and friendly, showing great care and knowledge, explaining simply. I always feel safe and valued

3rd March 2026

Was known to the team. They were friendly and very courteous …..genuinely cared for the well-being of myself and husband.As they are on the telephone when reminding us of appointments.

1st March 2026

All the staff are very friendly the hygienist all ways explain everything and makes me feel at ease.

27th February 2026

I was a tad alte but Reception and Dr P were undersatnding, thank you. Despite no onsite parking, it is manageable and teh Practice is aware and helpful, againb, thank you.

26th February 2026

Claire Perry excellent Hygienist and Marcus great dentist all good communication and professional care.

25th February 2026

Friendly and professional service every time I have an appointment. Always made to feel welcome and listened to if there is any discomfort.

25th February 2026

Efficient pleasant staff

25th February 2026

Dr Marcus is brilliant. Superb dentist who puts you at ease.

SH

Sue Holms

From the reception staff all the way up to the dentist my treatment was with utter respect, patience and kindness. Every step was explained and my opinion was asked for. I was having an extraction and was a little nervous, but was put at ease by Doctor Mark and Nurse Molly. Dr Mark met me in reception and escorted me to the treatment room and then back again at the end of the appointment. The appointment took as long as it took. At no point did it feel rushed or that I was taking up their precious time. They made me feel that they were there for me and that nothing was too much trouble.

22nd February 2026

From the reception staff all the way up to the dentist my treatment was with utter respect, patience and kindness. Every step was explained and my opinion was asked for. I was having an extraction and was a little nervous, but was put at ease by Doctor Mark and Nurse Molly. Dr Mark met me in reception and escorted me to the treatment room and then back again at the end of the appointment. The appointment took as long as it took. At no point did it feel rushed or that I was taking up their precious time. They made me feel that they were there for me and that nothing was too much trouble.

20th February 2026

I've been attending this dentist for over 12years They are amazing

17th February 2026

Very understanding and professional advice

Prev Previous
Next Next

Why choose us?

Multi Award Winning

Multi Award
Winning

Five Star Customer Service

Five Star
Customer Service

Invisalign Provider

Invisalign
Provider

State Of The Art Facilities

State Of The
Art Facilities

Leading Dental Care

Leading
Dental Care