Call me back

We’re Accepting New Patients!

Read More Next

Looking for a caring and professional dental practice? We’re excited to welcome new patients to our clinic! Whether you’re due for a check-up, need treatment, or are looking to enhance your smile, our friendly team is here to help.
Contact us today to book your first appointment—we look forward to meeting you!

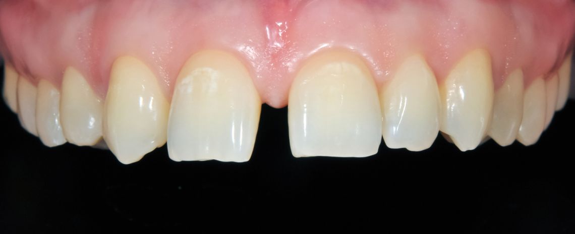
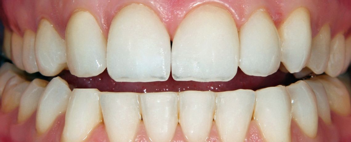
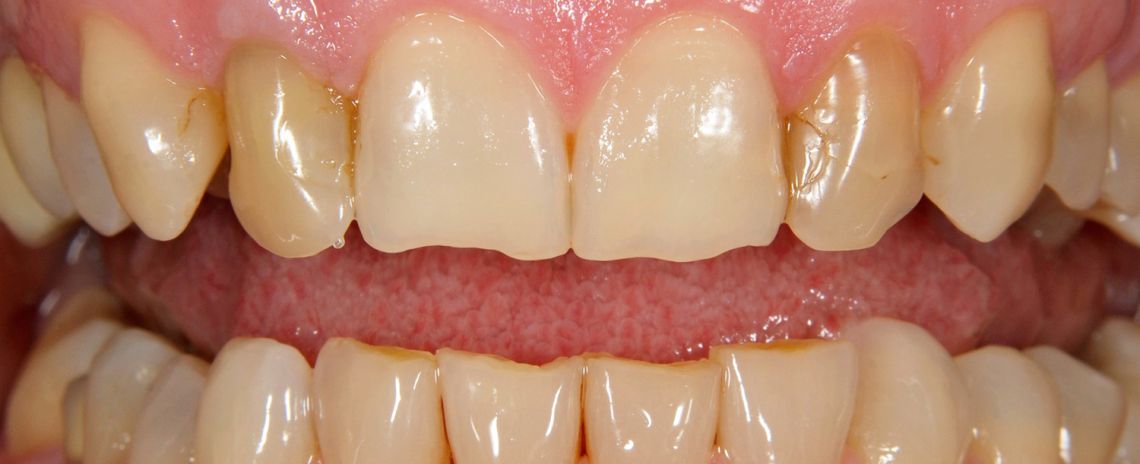
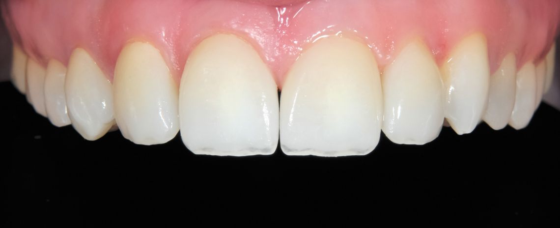
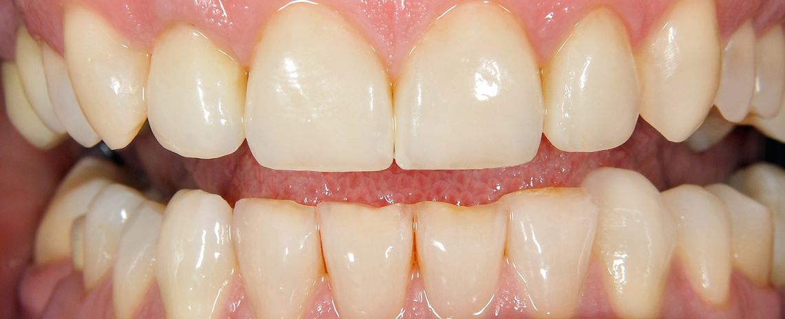
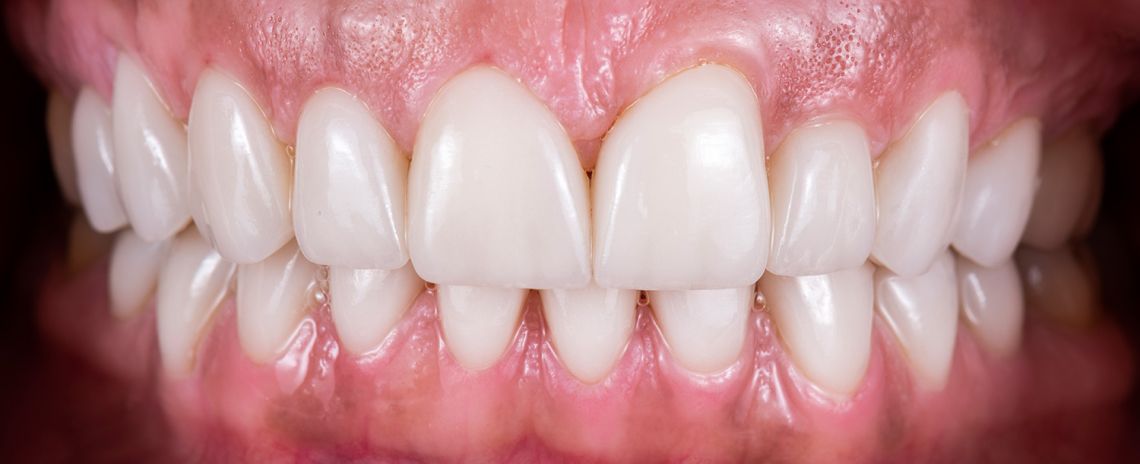
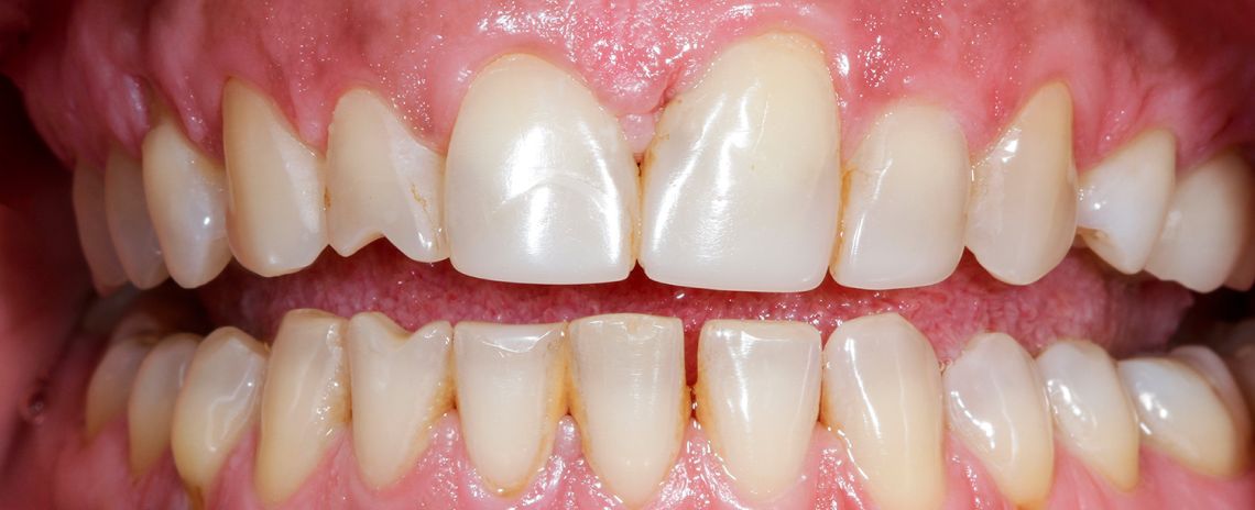
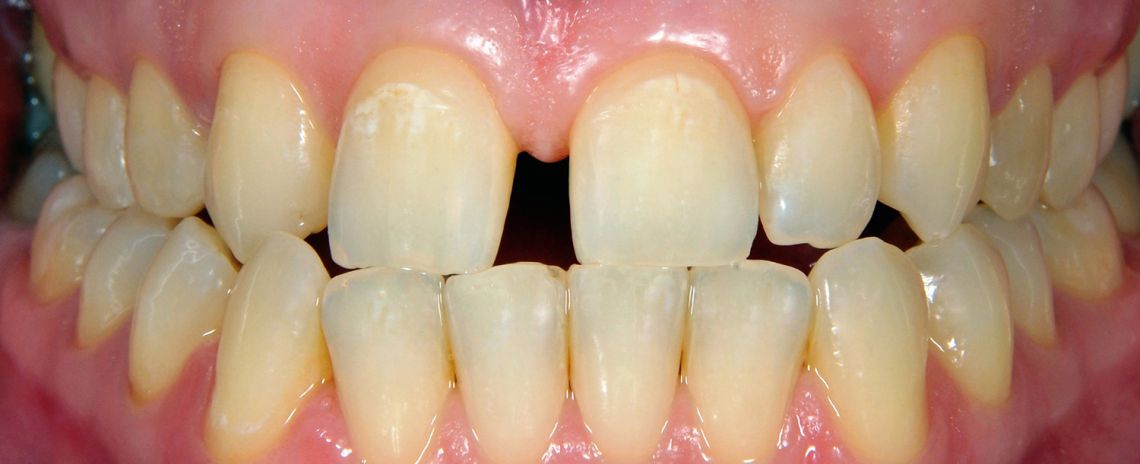
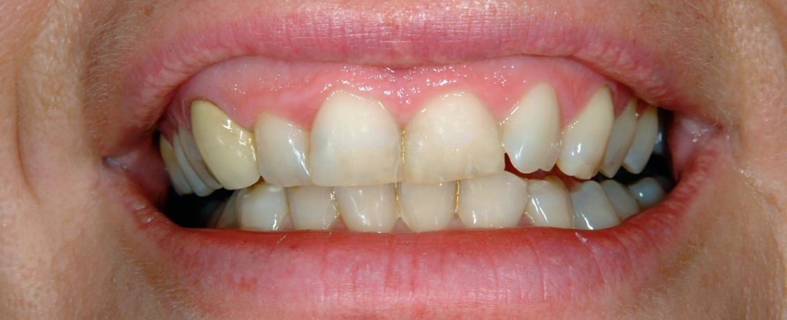
Veneers

A veneer is a thin, custom-made shell that is used to cover the front surface of a tooth, usually made from porcelain. They look natural and healthy, and can improve the colour, shape and position of your teeth. They can hide stained, chipped, mis-shaped or crooked teeth, or cover gaps in teeth where orthodontic treatment may not be suitable.

At Newcastle Dental Practice we use only the best materials and quality ceramic laboratories that have been tried and tested by thousands of patients. The procedure takes two appointments. At the first appointment, we shape your teeth as carefully and conservatively as possible and take a mould of the teeth to be veneered. Hand crafted temporary veneers are then placed on your teeth whilst your final veneers are being made. This allows you to ‘trial’ your new smile so that you can experience how your new smile will look and feel. If you want any changes to the shape or size at this stage, we can make adjustments so that you’re completely satisfied.

Once the veneers are ready, the temporary veneer is removed at your second appointment, and the permanent one fitted. Your Newcastle Dental Practice dentist will check the fit to ensure a correct bite and check your comfort, before securing in place.

Call us on 01782 616178 to book a consultation and discuss your smile makeover options.

Patient Reviews

People are talking about us

The biggest complement we receive is when our patients refer their friends and family to Newcastle Dental Practice. In fact, we have built much of our practice on these valued, trusted recommendations over the years. Read our reviews to hear why our patients are recommending us…

Patient reviews

928 Reviews

5.0

14th March 2026

The friendliness of the reception staff. The hygienist was constantly making sure I was comfortable and fine during the cleaning and explained how to best improve the bleeding in my gums before our next appointment.

NN

Nadine Naylor

All staff are very welcoming and friendly. I’ve always had fears when it comes to visiting dentists from a young age, however I’ve never felt judged since going here and the dentists and hygienists I have seen have all been very accommodating when I have been nervous and the treatments I have gotten have been excellent (deep cleaning, fillings, checkups etc). If I’ve had any issues they get me in promptly and as soon as possible (wisdom tooth infection) and they are very reassuring and talk you through everything that’s happening and how to treat things after the appointment I highly recommend this Dentist to anyone if they are in need of reliable and trustworthy dentist practice.

12th March 2026

All staff are all ways very helpful and friendly. I find the Dentist and particularly the Hygienist very helpful and supportive I couldn’t hope for a better experience.

CB

Chris Bamsey

Everyone at the practice provides an excellent service in a friendly, relaxed and professional way. I was impressed by how everything regarding my treatment was explained to me and how I was put at ease by Dr Marcus before and during the process.

9th March 2026

Very efficient, highly skilled and always polite. I have attended this dentist for many years.

7th March 2026

Very friendly and helpful staff.clean and tidy practice.only thing that lets it down is no parking.you have to park on the street.

5th March 2026

Friendly but very professional made to feel at ease throughout the whole process

4th March 2026

All staff were very professional and efficient

3rd March 2026

All staff are extremely professional and friendly, showing great care and knowledge, explaining simply. I always feel safe and valued

3rd March 2026

Was known to the team. They were friendly and very courteous …..genuinely cared for the well-being of myself and husband.As they are on the telephone when reminding us of appointments.

1st March 2026

All the staff are very friendly the hygienist all ways explain everything and makes me feel at ease.

27th February 2026

I was a tad alte but Reception and Dr P were undersatnding, thank you. Despite no onsite parking, it is manageable and teh Practice is aware and helpful, againb, thank you.

26th February 2026

Claire Perry excellent Hygienist and Marcus great dentist all good communication and professional care.

25th February 2026

Friendly and professional service every time I have an appointment. Always made to feel welcome and listened to if there is any discomfort.

25th February 2026

Efficient pleasant staff

25th February 2026

Dr Marcus is brilliant. Superb dentist who puts you at ease.

SH

Sue Holms

From the reception staff all the way up to the dentist my treatment was with utter respect, patience and kindness. Every step was explained and my opinion was asked for. I was having an extraction and was a little nervous, but was put at ease by Doctor Mark and Nurse Molly. Dr Mark met me in reception and escorted me to the treatment room and then back again at the end of the appointment. The appointment took as long as it took. At no point did it feel rushed or that I was taking up their precious time. They made me feel that they were there for me and that nothing was too much trouble.

22nd February 2026

From the reception staff all the way up to the dentist my treatment was with utter respect, patience and kindness. Every step was explained and my opinion was asked for. I was having an extraction and was a little nervous, but was put at ease by Doctor Mark and Nurse Molly. Dr Mark met me in reception and escorted me to the treatment room and then back again at the end of the appointment. The appointment took as long as it took. At no point did it feel rushed or that I was taking up their precious time. They made me feel that they were there for me and that nothing was too much trouble.

20th February 2026

I've been attending this dentist for over 12years They are amazing

17th February 2026

Very understanding and professional advice

Prev Previous
Next Next