Call me back

We’re Accepting New Patients!

Read More Next

Looking for a caring and professional dental practice? We’re excited to welcome new patients to our clinic! Whether you’re due for a check-up, need treatment, or are looking to enhance your smile, our friendly team is here to help.
Contact us today to book your first appointment—we look forward to meeting you!

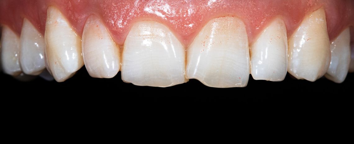
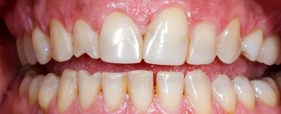
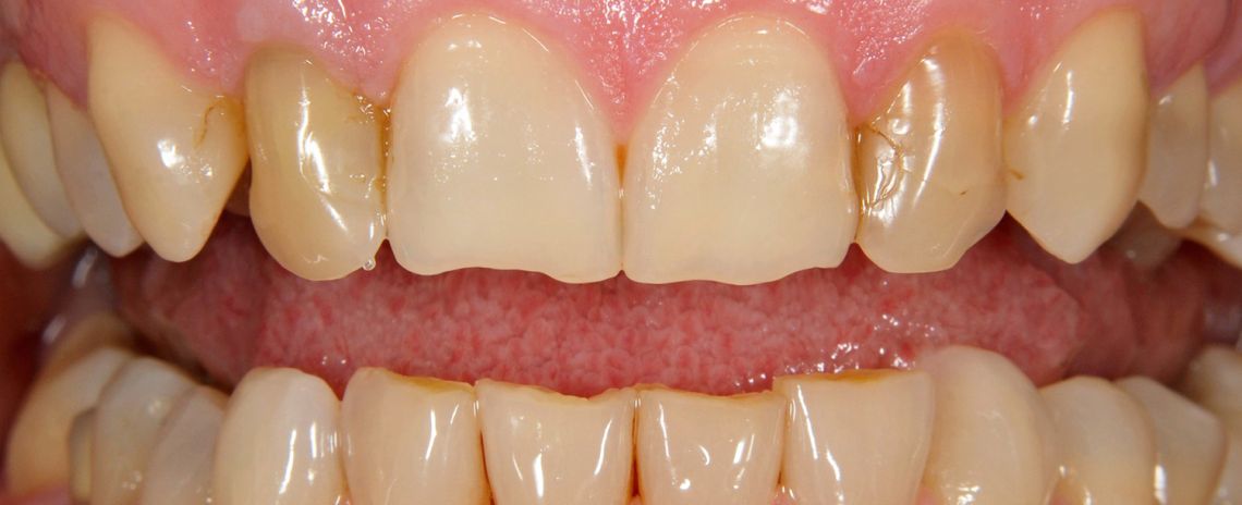
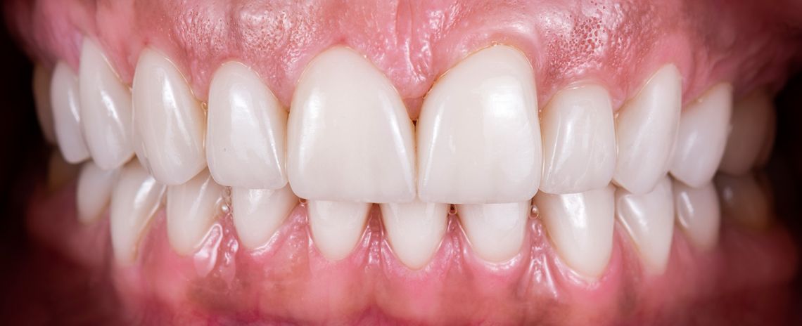
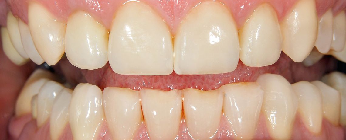
Teeth whitening

Whitening will not change the colour of your teeth completely but will lighten the shade, without removing any of the tooth surface. It is a safe procedure when carried out under professional supervision. Results last indefinitely. Just simply touch up your teeth with whitening gel every few years. Sometimes without a touch up, your teeth will start to re-stain by the same things that caused them to discolour in the first place.

It may be necessary to have other dental treatments prior to whitening, as whitening treatments can only be applied to healthy teeth and gums. A visit to the dental hygienist is also recommended prior to whitening treatment, to give the teeth a thorough cleaning and remove any surface stains. Teeth whitening is not effective on dental restorations such as amalgam fillings, metal or porcelain crowns, etc.

At Newcastle Dental Practice we use simple and safe home whitening systems. After checking your dental health, your dentist will take an impression to custom make dental trays that fit snuggly to your teeth. Once your trays are ready, your dentist will give you whitening gel and provide guidance on how to apply this at home, along with the required length of treatment in order to see your personal results. It may take between 3 days and a couple of weeks to see results, depending on your original discolouration and preferred shade.

Temporary sensitivity can affect some patients. If sensitivity is present, wear times should be shortened or made less frequent. Additionally, desensitizing toothpastes, gels, or mouthwashes can be used before or after the whitening process.

Call us on 01782 616178 to book a consultation and discuss your smile makeover options.

teeth whitening
Patient Reviews

People are talking about us

The biggest complement we receive is when our patients refer their friends and family to Newcastle Dental Practice. In fact, we have built much of our practice on these valued, trusted recommendations over the years. Read our reviews to hear why our patients are recommending us…

Patient reviews

926 Reviews

5.0

12th March 2026

All staff are all ways very helpful and friendly. I find the Dentist and particularly the Hygienist very helpful and supportive I couldn’t hope for a better experience.

CB

Chris Bamsey

Everyone at the practice provides an excellent service in a friendly, relaxed and professional way. I was impressed by how everything regarding my treatment was explained to me and how I was put at ease by Dr Marcus before and during the process.

9th March 2026

Very efficient, highly skilled and always polite. I have attended this dentist for many years.

7th March 2026

Very friendly and helpful staff.clean and tidy practice.only thing that lets it down is no parking.you have to park on the street.

5th March 2026

Friendly but very professional made to feel at ease throughout the whole process

4th March 2026

All staff were very professional and efficient

3rd March 2026

All staff are extremely professional and friendly, showing great care and knowledge, explaining simply. I always feel safe and valued

3rd March 2026

Was known to the team. They were friendly and very courteous …..genuinely cared for the well-being of myself and husband.As they are on the telephone when reminding us of appointments.

1st March 2026

All the staff are very friendly the hygienist all ways explain everything and makes me feel at ease.

27th February 2026

I was a tad alte but Reception and Dr P were undersatnding, thank you. Despite no onsite parking, it is manageable and teh Practice is aware and helpful, againb, thank you.

26th February 2026

Claire Perry excellent Hygienist and Marcus great dentist all good communication and professional care.

25th February 2026

Friendly and professional service every time I have an appointment. Always made to feel welcome and listened to if there is any discomfort.

25th February 2026

Efficient pleasant staff

25th February 2026

Dr Marcus is brilliant. Superb dentist who puts you at ease.

SH

Sue Holms

From the reception staff all the way up to the dentist my treatment was with utter respect, patience and kindness. Every step was explained and my opinion was asked for. I was having an extraction and was a little nervous, but was put at ease by Doctor Mark and Nurse Molly. Dr Mark met me in reception and escorted me to the treatment room and then back again at the end of the appointment. The appointment took as long as it took. At no point did it feel rushed or that I was taking up their precious time. They made me feel that they were there for me and that nothing was too much trouble.

22nd February 2026

From the reception staff all the way up to the dentist my treatment was with utter respect, patience and kindness. Every step was explained and my opinion was asked for. I was having an extraction and was a little nervous, but was put at ease by Doctor Mark and Nurse Molly. Dr Mark met me in reception and escorted me to the treatment room and then back again at the end of the appointment. The appointment took as long as it took. At no point did it feel rushed or that I was taking up their precious time. They made me feel that they were there for me and that nothing was too much trouble.

20th February 2026

I've been attending this dentist for over 12years They are amazing

17th February 2026

Very understanding and professional advice

AJ

Amy Jane

We visited the dentist today for an emergency visit as my son had an awful accident. Dentist Harrison was nothing but patient, kind and understanding for my little boy. He was so fast at fixing the problem and made me and my little boy walk out of there so much happier!

GG

Grace Goddard

If you want 5-star reviews and want to remove negative reviews from Google, contact me via my profile; my contact details are listed there.

Prev Previous
Next Next