Call me back

We’re Accepting New Patients!

Read More Next

Looking for a caring and professional dental practice? We’re excited to welcome new patients to our clinic! Whether you’re due for a check-up, need treatment, or are looking to enhance your smile, our friendly team is here to help.
Contact us today to book your first appointment—we look forward to meeting you!

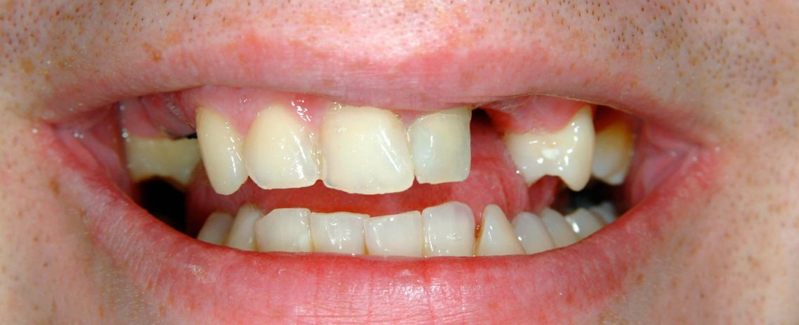
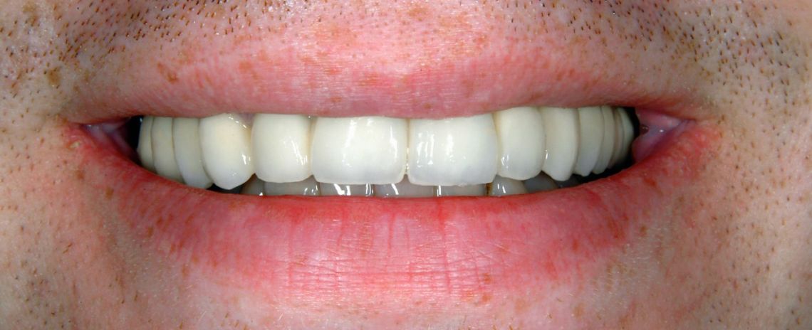
Dentures

Dentures are used to replace the function and appearance of natural teeth and restore your smile. Whether you are missing one tooth or many, we can carefully design a solution that’s right for you.

At Newcastle Dental Practice our dentures are durable and long-lasting, enable you to eat more foods and chew more easily, and help avoid further tooth loss.

Your dentist will work alongside a team of experienced clinical dental technicians to carefully craft bespoke, natural dentures designed for your comfort, function and longevity.

Made from the highest quality acrylic resin using next-generation digital design and production tech, Dentures from Newcastle Dental Practice are the ultimate non-permanent solution to missing teeth. This master craftsmanship and premium materials ensures each set of dentures is indistinguishable from beautiful natural teeth.

We offer a range of dentures to meet your individual needs:

Dentures Video
Play
Partial Dentures Video
Play

Full dentures

Full dentures from Newcastle Dental Practice in Newcastle-under-Lyme are carefully designed for a millimetre perfect fit, ensuring a comfortable and non-slip fit for years to come. They are the recommended option for replacing a full row or arch of teeth. Our full dentures are designed to look and function just like natural teeth.

Partial dentures and overdentures

When missing teeth cause a gap in the smile, partial dentures, or overdentures, are a functional, lifelike replacement. We offer an extensive range of materials and colour options to match partial dentures to your existing teeth. They are an effective and reliable way to restore both function and aesthetics and give you your confidence back.

Implant-retained dentures

For the ultimate in comfort and convenience, ask your Newcastle Dental Practice dentist about implant-retained dentures. With this solution your denture is secured in place using one or several secure titanium implants in the jaw. These securely anchoring your denture in place so you no longer have to worry about slippages, discomfort and the daily fight with adhesive.

If you are looking for dentures in Hanley, Tunstall, Newcastle-under-Lyme and Stoke-on-Trent and want to know more about your options, get in touch to arrange a consultation at Newcastle Dental Practice.

Patient Reviews

People are talking about us

The biggest complement we receive is when our patients refer their friends and family to Newcastle Dental Practice. In fact, we have built much of our practice on these valued, trusted recommendations over the years. Read our reviews to hear why our patients are recommending us…

Patient reviews

928 Reviews

5.0

14th March 2026

The friendliness of the reception staff. The hygienist was constantly making sure I was comfortable and fine during the cleaning and explained how to best improve the bleeding in my gums before our next appointment.

NN

Nadine Naylor

All staff are very welcoming and friendly. I’ve always had fears when it comes to visiting dentists from a young age, however I’ve never felt judged since going here and the dentists and hygienists I have seen have all been very accommodating when I have been nervous and the treatments I have gotten have been excellent (deep cleaning, fillings, checkups etc). If I’ve had any issues they get me in promptly and as soon as possible (wisdom tooth infection) and they are very reassuring and talk you through everything that’s happening and how to treat things after the appointment I highly recommend this Dentist to anyone if they are in need of reliable and trustworthy dentist practice.

12th March 2026

All staff are all ways very helpful and friendly. I find the Dentist and particularly the Hygienist very helpful and supportive I couldn’t hope for a better experience.

CB

Chris Bamsey

Everyone at the practice provides an excellent service in a friendly, relaxed and professional way. I was impressed by how everything regarding my treatment was explained to me and how I was put at ease by Dr Marcus before and during the process.

9th March 2026

Very efficient, highly skilled and always polite. I have attended this dentist for many years.

7th March 2026

Very friendly and helpful staff.clean and tidy practice.only thing that lets it down is no parking.you have to park on the street.

5th March 2026

Friendly but very professional made to feel at ease throughout the whole process

4th March 2026

All staff were very professional and efficient

3rd March 2026

All staff are extremely professional and friendly, showing great care and knowledge, explaining simply. I always feel safe and valued

3rd March 2026

Was known to the team. They were friendly and very courteous …..genuinely cared for the well-being of myself and husband.As they are on the telephone when reminding us of appointments.

1st March 2026

All the staff are very friendly the hygienist all ways explain everything and makes me feel at ease.

27th February 2026

I was a tad alte but Reception and Dr P were undersatnding, thank you. Despite no onsite parking, it is manageable and teh Practice is aware and helpful, againb, thank you.

26th February 2026

Claire Perry excellent Hygienist and Marcus great dentist all good communication and professional care.

25th February 2026

Friendly and professional service every time I have an appointment. Always made to feel welcome and listened to if there is any discomfort.

25th February 2026

Efficient pleasant staff

25th February 2026

Dr Marcus is brilliant. Superb dentist who puts you at ease.

SH

Sue Holms

From the reception staff all the way up to the dentist my treatment was with utter respect, patience and kindness. Every step was explained and my opinion was asked for. I was having an extraction and was a little nervous, but was put at ease by Doctor Mark and Nurse Molly. Dr Mark met me in reception and escorted me to the treatment room and then back again at the end of the appointment. The appointment took as long as it took. At no point did it feel rushed or that I was taking up their precious time. They made me feel that they were there for me and that nothing was too much trouble.

22nd February 2026

From the reception staff all the way up to the dentist my treatment was with utter respect, patience and kindness. Every step was explained and my opinion was asked for. I was having an extraction and was a little nervous, but was put at ease by Doctor Mark and Nurse Molly. Dr Mark met me in reception and escorted me to the treatment room and then back again at the end of the appointment. The appointment took as long as it took. At no point did it feel rushed or that I was taking up their precious time. They made me feel that they were there for me and that nothing was too much trouble.

20th February 2026

I've been attending this dentist for over 12years They are amazing

17th February 2026

Very understanding and professional advice

Prev Previous
Next Next