Call me back

We’re Accepting New Patients!

Read More Next

Looking for a caring and professional dental practice? We’re excited to welcome new patients to our clinic! Whether you’re due for a check-up, need treatment, or are looking to enhance your smile, our friendly team is here to help.
Contact us today to book your first appointment—we look forward to meeting you!

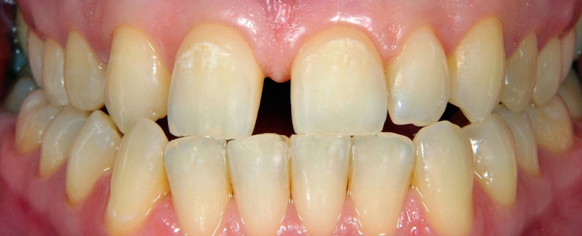
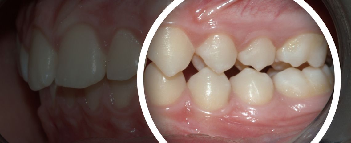
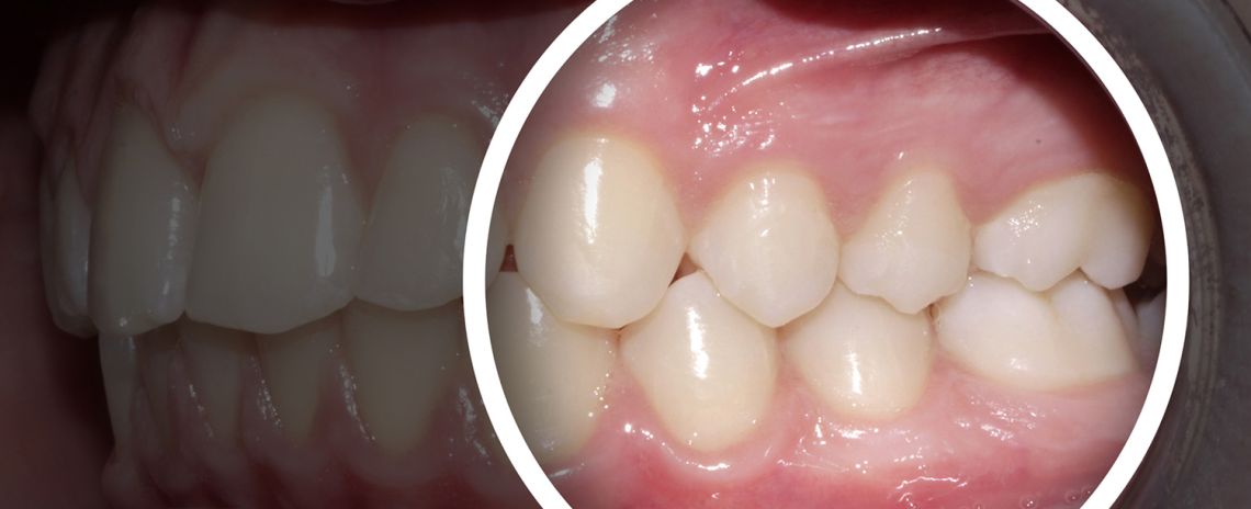
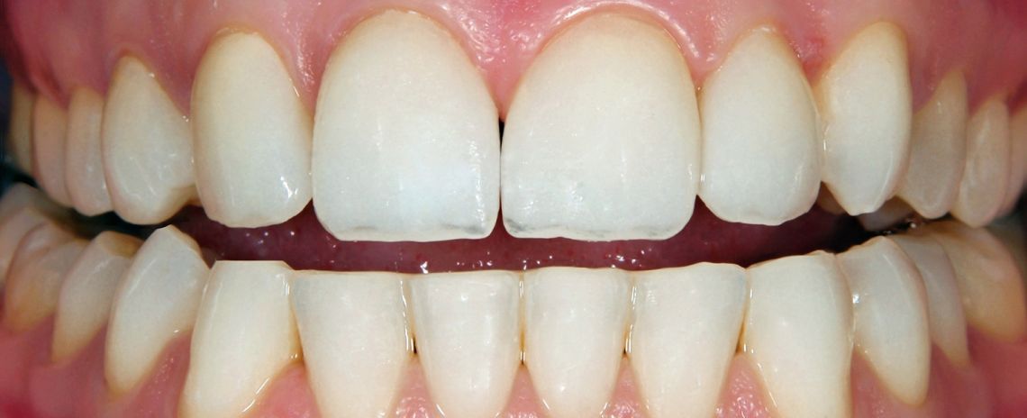
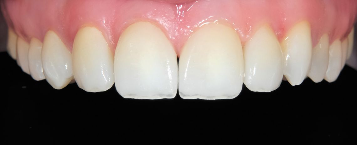
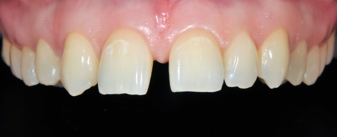
Invisalign clear aligners

Serving patients throughout Hanley, Tunstall, Newcastle-under-Lyme and Stoke-on-Trent

Invisalign is the revolutionary clear aligner which straightens with discretion, comfort and ease.

With results at in as little as 3 - 6 months (depending on the complexity of movement required), this trusted system has successfully transformed over 10 million smiles so far... and counting!

SPECIAL LIMITED TIME OFFER

For a limited time only this month - with Invisalign treatment you will get the following Free Bonuses:

Bonus 1 - Free 30 minute consultation with an Invisalign dentist.

Bonus 2 - Free 3D computer generated video.

Bonus 3 - Free Teeth Whitening (worth £245) with Invisalign treatment

Bonus 4 - 0% interest free finance

Bonus 5 - Free electric toothbrush (worth £30 rrp)

Bonus 6 - £500 off Invisalign treatment

Call today to book your Free Invisalign consultation on 01782 616178 or email: sophie@nuldental.com


What would I look like with straight teeth?

Have you ever found yourself wondering ‘how would I look with straight teeth’? Well, now it's your chance to find out. Simply snap a selfie and see your results within 60 seconds.Click here


Invisalign

Benefits of Invisalign clear aligners from Newcastle Dental Practice in Newcastle-under-Lyme:

Removable Life can continue as normal, as the Invisalign System discreetly does its work. As Invisalign aligners are removable, it’s easy to maintain your regular oral hygiene and enjoy your usual diet. You should simply wear your aligners for the recommended 22 hours a day to see the best results.

Comfortable Only Invisalign clear aligners use SmartTrack material to shape your smile with such precision, comfort and predictability. SmartTrack material is highly elastic for an improved aligner fit and greater comfort.

Near invisible Invisalign clear aligners are so discreet, it will be difficult to notice you are undergoing teeth straightening treatment.

The Invisalign treatment process is straightforward and technically advanced:

  1. Consultation and planning After an initial consultation, our Invisalign dentist, Dr Marcus Charles-Drummond will take photos, X-rays and digital scans, or a dental impression, of your teeth. These records will be used to create a ClinCheck 3D treatment plan, just for you. ClinCheck technology digitally maps your entire Invisalign journey, so you can see what your new smile is predicted to look like before treatment even begins.
  2. Transformation We’ll then custom make your aligners using state of the art 3D printing technology, before Dr Marcus provides you with your initial sets of aligners, to start your treatment. You’ll need to wear each aligner for 1-2 weeks before changing to the next, to slowly and efficiently move the teeth inline. Dr Marcus will see you every 4–6 weeks to check your progress and provide you with your next sequence of aligners.
  3. Retaining your new smile Once your new smile is achieved, you’ll need to wear a retainer to ensure your teeth remain beautifully aligned. Retainers can either be removable clear trays, similar to a mouth guard, or a fixed retainer which are discreetly attached to the back of the teeth for continual support.

If you are looking for Invisalign clear aligners in Hanley, Tunstall, Newcastle-under-Lyme and Stoke-on-Trent and want to know more about your options, get in touch to arrange a consultation at Newcastle Dental Practice.

Meet the team

Dr Yannis Abelidis

Dentist

GDC NO. 259227

Dr Marcus Charles-Drummond

Dentist

GDC NO. 283655

Previous
Next
Patient Reviews

People are talking about us

The biggest complement we receive is when our patients refer their friends and family to Newcastle Dental Practice. In fact, we have built much of our practice on these valued, trusted recommendations over the years. Read our reviews to hear why our patients are recommending us…

Patient reviews

864 Reviews

5.0

22nd December 2025

the ladies on reception are lovely, Simon the man on the drill is a brilliant advert for the dentist, the only downside, all my daughters fancy him...

19th December 2025

The Dentist explained everything in detail ensuring that I was happy with the treatment plan continually asking if I wanted to go over things again. Very understanding and respectful.

17th December 2025

Friendly and attentive staff never feel rushed even if gone over allocated time. Always explain procedures thoroughly and always feel at ease.

11th December 2025

Dr Emily was excellent as always – she explained everything to me clearly and gave me options. The reception team were equally excellent – they managed to get me in for an emergency appointment with no trouble and they helped me to increase membership my DenPlan within seconds.

11th December 2025

Staff very helpful and professional, everything was explained to me before each procedure and asked if I was okay as each procedure was carried out. I felt very comfortable.

11th December 2025

Staff all very friendly and helpful. Dentist first rate. Hygienists first rate. Dental nurses caring. What more could one want?

11th December 2025

Very professional practice with very friendly and helpful staff.

10th December 2025

You felt listened to by the dentist who was very professional and pleasant

10th December 2025

Staff are friendly and competent, my dentist remembered me from previous visits and we had a conversation about my teeth that put me at ease for the future.

9th December 2025

The professionalism of staff, short waiting time and elevated care of dentist

5th December 2025

Very knowledgeable, very helpful, always eager to give advice.

5th December 2025

I have always been very nervous when having to visit the dentists. Since going to the Newcastle clinic I have so much more confident due to the way they treat me.They are caring considerate and very patient so much so that I dont worry nearly as much when my appointment is due.

5th December 2025

The staff are so friendly. They are so caring and patient

4th December 2025

I have been using the dental practice for a number of years and have been highly satisfied with the treatment I have received. I’ve always found the receptionist very helpful. And the dentist and the hygienist very good. I have no issues with the practice at all other than satisfaction.

28th November 2025

Friendly staff, approachable, clean relaxing environment,

28th November 2025

I find all the staff very friendly and very professional at all times.

28th November 2025

The staff are welcoming, the waiting area perfectly adequate, the clinical rooms are always well presented but most importantly the dentist are very good and work to very high standards always checking that you are comfortable, they give me a lot of confidence in there ability and work.

27th November 2025

Attentive staff, sensitive to my needs. Thoroughly professional.

27th November 2025

After my treatment I had to wait in reception to obtain medication and instructions for my post-procedure care. It had not been prepared in advance si I had to wait. I was in some discomfort and wanted to get back to my car to apply an ice pack. The recption staff noticed my discomfort and were very considerate aking if they could help me in any way and offering assistance when I was ready to leave. In my opinion it was an illustration 'of your motto: Putting patients first.

26th November 2025

Everybody is always so friendly. We love the fact that from the minute you walk in the door you are made to feel welcome. We are always greeted by our first names and a happy smile which makes a real difference, especially to my extremely nervous husband. The personal touch is what makes this practice stand out from any other we have used before.

Prev Previous
Next Next